MAKE A RESERVATION!
Hi, How Can We Help You?
Home
Sweet In
About Us
Career
FAQ
Reservation
Contact
Our Location
Sweet Science
--Lihat Semua--
Macam Macam Dokter Gigi
Macam Macam Dokter Spesialis Di Kedokteran Gigi
Penyakit Gigi Dan Mulut Yang Harus Dihindari
Kebiasaan Yang Membuat Gigi Kuning
Inilah Beberapa penyebab Gusi Bisa Berdarah
Sweet Fact
--Lihat Semua--
Apa Benar Penggunaan Pasta Gigi Berfluoride Aman Untuk Anak-Anak?
Benarkah Gigi Bayi Tidak Bisa Berlubang
Bahaya Pasang Gigi Palsu Tanpa Cabut Akar Gigi
Mitos Cabut Gigi Bisa Menyebabkan Kebutaan
Bisakah Membersihkan Karang Gigi Sendiri Di Rumah?
Sweet Gallery
Sweet Sult
Sweet Pic
Sweet Video
Sweet News
Sweet Price
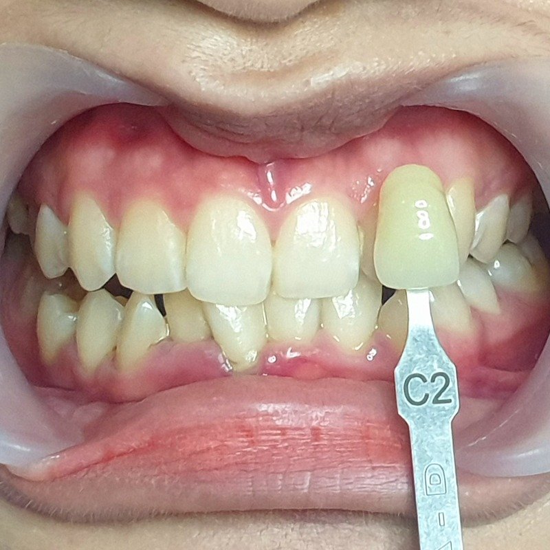
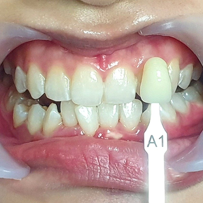
Sweet sult - Tags Whitening
Whitening
Whitening
Reservasi Di Sini